

0671584356

Allineatori Trasparenti
L'ortodonzia che non si vede
Scopri come avere
i denti dritti e belli senza stress
Ancora oggi molte persone rinunciano ad avere denti dritti e un bel sorriso e restano tutta la vita coi denti storti ed affollati, convinti che per loro sia troppo tardi.

La dott.ssa Marraudino, che si occupa di ortodonzia da 25 anni, ci spiega, come grazie all'ortodonzia con gli allineatori trasparenti, i suoi pazienti possano avere i denti dritti anche se sono ormai adolescenti o adulti.

L'ortodonzia cosidetta "invisibile" utilizza delle mascherine trasparenti per spostare i denti.
Tali mascherine sono dette "allineatori" e, in effetti, il loro compito è quello di allineare i denti, ossia risolvere l'affollamento e le rotazioni che questi presentano.
Il trattamento consiste nel portare una serie di allineatori che variano leggermente di formato l'uno dall'altro.
In genere, ogni mascherina viene indossata per 10 giorni e poi sostituita dalla successiva. Possiamo così ottenere, gradualmente, l'allineamento desiderato.
Il risultato finale della terapia è uguale a quello ottenuto con metodiche tradizionali.
Il vantaggio ,offerto da questa tecnica, è che le mascherine sono praticamente invisibili!
Cosa non trascurabile: l'assenza di elementi metallici, oltre al lato estetico, offre il vantaggio di rendere più facili la pulizia di denti e gengive.
Tale metodica è resa possibile da una sofisticata tecnologia grazie alla quale l'impronta digitale viene registrata attraverso un particolare scanner.
In base alle nostre indicazioni e piano terapeutico viene creata la serie di mascherine necessarie ad effettuare l'allineamento desiderato.
Un programma computerizzato ci permette inoltre di mostrare al paziente una previsione degli spostamenti progettati per i suoi denti prima dell'inizio della terapia.
Dalla 1 visita alla mascherina
tutte le fasi del trattamento


1° Fase
Durante La 1visita eseguiamo un check up completo delle arcate dentarie, valutando lo stato dei denti, delle gengive e l' occlusione. Se necessario eseguiamo un esame ortopantomografico .
Durante questa fase viene analizzato il tipo di problematica da risolvere (affollamento, morso profondo ecc.) e vengono eseguite delle fotografie delle arcate dentarie per una prima valutazione del caso.

2° Fase
Durante questa seduta vengono registrate le impronte digitali delle arcate dentarie.
Le impronte digitali vengono eseguite attraverso una particolare telecamera che permette al computer di ricostruire un modello virtuale della bocca estremamente preciso.
3^ Fase
Analisi e studio dei dati raccolti,preparazione del piano di trattamento ed invio al laboratorio odontotecnico.

4^ Fase
Consegna delle mascherine ed inizio terapia.

🎯 A chi è adatto questo trattamento
✔ Adulti che vogliono migliorare il proprio sorriso in modo discreto
✔ Ragazzi e ragazze che vogliono evitare i fili metallici
✔ Chi ha già portato l’apparecchio e vuole correggere piccoli movimenti
✔ Chi cerca una soluzione efficace, comoda e compatibile con la vita quotidiana
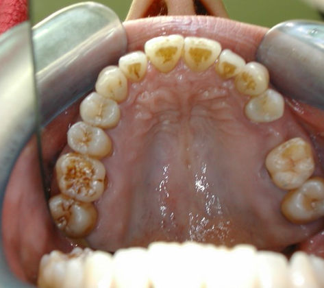
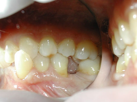
Casi clinici
Prima e dopo
Caso clinico
Paziente adulta fumatrice con grave dislocazione degli incisivi prima e dopo la terapia
Caso Clinico
Correzione del morso profondo in una paziente adulta
Dicono di noi









💳 Pagamenti personalizzabili
Pagamenti Personalizzati
Offriamo piani di pagamento flessibili, con possibilità di rate a
💠 tasso zero fino a 12 mesi oppure
💶 tasso agevolato fino a 60 mesi,
per rendere il tuo trattamento ortodontico ancora più accessibile e tranquillo

✨Se il tuo sorriso non ti soddisfa e non vuoi affrontare terapie con apparecchiature fisse e inestetiche
l'apparecchio invisibili potrebbe fare al caso tuo.
📞Prenota la tua visita al n 0671584356
💬oppure descrivici il tuo problema. Ti ricontatteremo per darti tutte le informazioni che ti servonoℹ️
Studio OdontoiatricoFerrantini Marraudino STP Srl
Via Flavio Stilicone 314
00175 Roma (RM)
tel 06/71584356
P.iva 07017021002
Gentile utente, ricorda che le informazioni che raccoglierai in questo sito hanno uno scopo puramente indicativo, e che non sostituiscono in nessun caso una visita o una diagnosi formulata dal medico. Le informazioni disponibili su questo sito non devono e non possono essere considerate come suggerimenti per la formulazione di una diagnosi, la determinazione di un trattamento o l’assunzione o la sospensione di un farmaco senza che prima venga consultato un medico o uno specialista. L’utilizzo di tali informazioni è sotto la responsabilità, il controllo e la discrezione unica dell’utente.















